연축성발성장애는 후두 즉 목소리를 만드는 발성기관의 근육들이
과도하게 연축되면서 목소리의 이상을 초래하는 임상적 질환을 말합니다.
흔히 말을 할 때 목소리가 끊어지고 처음 말을 시작하기가 힘들고 떨리면서
연속적으로 말을 이어나가기가 힘든 질환을 말합니다.
연축성발성장애는 근육의 긴장도에 이상을 초래하는 질환(dystonia)중에
하나로서 목소리 이상을 초래하는 질환의 진단적 명칭으로 사용되고 있습니다.
연축성발성장애는 이러한 근육긴장 이상 질환의 하나로서
말을 하려고 할 때에만 성대근육의 부적절한 긴장과 수축으로
성대 운동의 이상을 초래하며
때때로 다른 국소성 근육긴장 이상을 같이 동반하는 경우가 흔히 있습니다.
현재 미국통계에 의하면 원인불명의 연축성발성장애 환자가
대략 5만명에서 10만명 정도 있으며, 한국에서는 아직은 정확한 통계자료가 없으나
인구비례상 2천명에서 3천명 정도 될 것으로 추정하고 있습니다.
연축성발성장애는 흔히 증상이 나타나는 연령에 따라서 분류되며,
20세 이전에 발생하는 경우를 유년형,
20세 이상에 나타나는 경우를 성인형으로 구분합니다.
과거에는 흔히 연축성발성장애를 정신적인 원인으로 생각했습니다.
그 이유로는 술이나 신경안정제에 호전되기도 하고 스트레스를 받거나 전화상에서 더욱 심해지는 양상을 보이기 때문입니다.
1980년대 들어 뇌신경학적 연구가 활발해 지면서 연축성발성장애의 원인으로 뇌중추신경의 통합 과정이 이루어지는 뇌기저핵(basal ganglia)에 이상으로
후두신경조절의 부조화가 일어나 후두근육의 비정상적인 연축이 일어나는 것으로 생각되어 왔습니다.
최근 National Insitute of Health(NIH)의 National Insitute of Neurologic Disorer(NINDS)의 후두음성센터의 Dr. Ludlow는 연축성발성장애 환자의
뇌기저부에 있는 후두감각신경반사의 중추가 되는 신경핵부위(Nucleus Tractus of Solitarius)의 억제성 신경의 이상으로 후두신경조절기능의
이상을 초래하게 되어 말을 할 때 미세하게 성대근육을 조절하는 기능이 상실되어 과도하게 성대근육의 수축과 연축을 유발하여 목소리가 끊기고
말하기 힘들어지는 증상을 나타나는 것을 증명하였습니다.
- 성문형(glottic)
- 성문상부형(supraglottic)
- 근긴장성떨림(dystonia tremor)
- 내전형떨림(adductor type with tremor)
- 외전형성 내전형
(외전형이나 보상기전으로 내전형 증상을 갖는 경우)
- 내전형성 외전형
(내전형이나 보상기전으로 외전형 증상을 갖는 경우)
연축성발성장애가 있는 환자에게는 먼저 청각학적 음성검사를 시행하게 되고 후두근전도를 통하여
후두근육의 과도한 수축이나 연축, 떨림현상, 말을 하는 동안의 성대근육의 연축정도를 관찰하게 됩니다.
음성음향학적 검사를 통하여 목소리의 기본 주파수의 변화를 관찰하고 스펙트로그램을 통하여 음성파형의 변화를 관찰하게 됩니다.
공기역학적 검사를 통해서 성대의 마찰의 유용성과 저항성을 측정하게 되며, 전기성문파형을 검사하게 됩니다.
후두스트로보스코피를 시행하여 성대움직임의 관찰을 하며 후두근전도 검사를 시행하여 비정상적으로 수축하게 되는
후두근육의 특징과 이상 소견을 보이는 후두근육과 성대근육의 정확한 감별을 하게 됩니다.
특히 후두근전도를 이용하여 후두근의 병태생리학적 이상을 관찰하고 후두반사의 이상유무를 판단하여 뇌학습효과의 유용성
및 완치가능성을 예측하는데 매우 유용합니다.
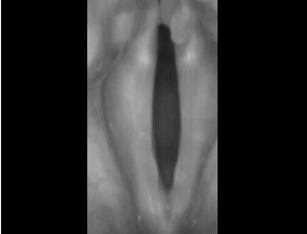
최근 본원에서는 아시아에서는 최초로 도입된 초고속 성대촬영시스템을 이용하여 성대근육의 연축부위를 정확히 판단하게 되어
극소량의 보툴리눔톡신을 연축이 일어나고 있는 근육에만 정밀하게 주입하는 극소용량 보툴리눔톡신주입술이 가능하게 되었으며,
이를 통해 쉰목소리 기간 없이 좋은 목소리 상태를 유지할 수 있게 되었습니다.
연축성발성장애의 후두근전도 특성
음성음향학적 검사
후두스트로보스코피
초고속 성대사진
약물 치료
흔히 항콜린계약물과 신경안정제, 바클로펜, 도파민수용체억제제등을 이용합니다.
그러나 약물 치료의 경우 심한 부작용으로 인하여 매우 심한 근긴장성 이상질환에 이용되며 연축성발성장애에는 보조요법으로만 이용됩니다.
보툴리눔톡신 치료
현재 가장 최선의 방법으로 이용되고 있습니다.
그러나 영구적이지 못하고 약효가 3개월에서 6개월 정도의 한시적으로 나타나며,
지속적으로 주사를 맞아야 한다는 단점이 있습니다.
이 방법을 위해서는 고도의 기술과 후두근전도에 대한 풍부한 경험을 필요로 합니다.
이것은 목소리 유지기간을 연장시키면서 주사후 목소리가 쉬는 기간이 단축되며,
또한 뇌신경반사에 학습을 통한 목소리의 정상화를 유도하는 방법입니다.
이 방법을 시행한 경우 보툴리눔톡신을 맞을 수록 점차 맞는 기간이 길어지는 장점이 있으며,
그 결과 복합후두근 보툴리눔톡신 주입술을 시행받은 환자중
3~4년 후에는 대략 60%의 환자에서 질환의 완치가능성을 높이게 됩니다.
이방법은 현재 국내에서 예송음성센터에서 시행되고 있으며
매우 만족할 만한 결과를 얻고 있습니다.
보툴리눔톡신 치료 바로가기
수술적 치료
수술적인 방법으로 1976년 Dedo박사가 최초로 "반회후두신경절제술"을
시행하였으나 재발과 증상 악화로 현재는 거의 시행되지 않고 있으며,
그 후 1989년 Tucker박사에 의해 처음 연축성발성장애에 갑상연골성형술이
시술되고 2000년 isshiki박사에 의해서 변형되어 많이 시행된
전방갑상연골성형술이 시행되고 있습니다.
하지만 이 수술에 대한 최근 2004년도 'Laryngoscop'란 이비인후과 최고의
저널에 발표된 장기추적결과를 보면 매우 불만족스러운 결과
(1년 장기추적결과 수술받은 사람의 33%에서만 중등도의 음성개선효과를 유지)를
나타내고 있고 아직은 보툴리눔톡신이 주된 치료라고 결론짓고 있습니다.
또 다른 수술방법으로 1993년 Genack & Woo박사가 시행한 내시경을 이용한
'성대근 절제술'로 성대근육의 일부를 절제하는 수술을 시행하였으며,
이 수술의 변형으로 최근 Watanabe박사가 레이저를 이용하여
성대근육 일부를 절제하고 지방을 주입하는 수술을 시행하기도 하였습니다.
이 성대근절제술의 결과로 Woo박사의 수술 후 1년 후의 결과는
만족스럽지 않은 것으로 발표되었지만 Watanabe 박사의 경우는
치료효과가 좋은 것으로 보고되고 있습니다.
성대근의 절제방법에 따라서 레이저를 이용하기도 하며,
고주파나 저주파등을 이용할 수 있습니다.
하지만 수술 후의 부작용으로 쉰목소리로 인하여 수술시 지방을 주입하기도 하는
술식의 변형을 시도하기도 하였습니다.
아직은 장기 치료결과를 관철하여야 하리라 생각됩니다.
1993년에는 Berke박사가 '선택적 후두근신경박리술'을 발표하기도 하였고,
1989년 Friendman이 신경자극기 이식술에 의한 치료방법을 시도하기도 하였습니다.
이렇게 다양한 수술방법이 시도되고 있다는 것은 아직도 수술적인 치료로서는
만족스러운 결과를 얻을 수 없음을 간접적으로 암시하며,
예송에서의 수술적인 경험으로도 만족스럽지 못한것이 사실입니다.
결론적으로 현재까지는 연축성발성장애의 치료방법으로 보툴리눔톡신 주입술이
가장 우수한 목소리 개선의 치료방법이라 생각됩니다.